Διαφραγματοκηλη

Γαστροοισοφαγικη

Παλινδρομηση

Η διαφραγματοκηλη είναι μια παθολογική οντότητα στην οποία μέρος του στομάχου ανεβαίνει στον θώρακα .Παρά το ότι αυτή η πάθηση είναι καλοήθης μπορεί να προκαλέσει επιπλοκές και η οποία πρέπει να παρακολουθείται και πιθανώς να θεραπεύεται χειρουργικά.
Η διαφραγματοκηλη μπορεί να συμβεί σε οποιαδήποτε ηλικία ,κυρίως όμως μετά τα 60 έτη.

Τι είναι η Διαφραγματοκηλη ;

Είναι μια ανατομική ανωμαλία,οπου ένα μέρος του στομάχου διέρχεται στον θώρακα μέσω του οισοφαγειου τρηματος . Μπορεί να είναι προσωρινές η μόνιμες .
Υπάρχουν δυο τύποι κήλης η ολισθαινουσα η οποία αντιπροσωπεύει την συντριπτική πλειοψηφία των διαφραγματοκηλων και η οποία ορίζεται από το πέρασμα της γαστροοισοφαγικής συμβολής
στο μεσοθωρακιο και οι παραοισοφαγικες κηλες στις οποίες η Γαστροοισοφαγική συμβολή παραμένει στη θέση της αλλά μέρος του στομάχου (θόλος) ανέρχεται στο μεσοθωρακιο.
Επίσης μπορεί να παρασυρθούν και αλλά όργανα όπως ο σπλήνας και το έντερο.


Ποιες είναι οι αιτίες της Διαφραγματοκηλης ;

Με το πέρασμα της ηλικίας οι σύνδεσμοι που κρατούν το στομάχι στη θέση του χαλαρώνουν ,άλλη αιτία είναι η παχυσαρκία και το κάπνισμα .Το υπερβολικο βάρος επιτείνει την χαλάρωση των συνδέσμων.

Ποια είναι τα συμπτώματα;

Οι περισσότερες διαφραγματοκηλες είναι ασυμπτωματικες και ανακαλύπτονται τυχαία κατα την διάρκεια μιας ενδοσκοπικής εξέτασης .
Ωστόσο ορισμένες μπορεί να προκαλέσουν Γαστροοισοφαγική παλινδρόμηση .
Αν και συχνά είναι ασυμπτωματικη ,ορισμένα συμπτώματα μας προειδοποιούν όπως
Πόνος και κάψιμο οπισθοστερνικα,αισθηση πλήρωσης (φούσκωμα),επαναλαμβανόμενες ερυγες(ρεψίματα ),η λοξυγγας,παλινδρομηση και εμετός με όξινη γεύση ,δυσοσμία αναπνοής ,με κακή γεύση στο στόμα,κοπωση και αίσθημα δύσπνοιας και τέλος καρδιακές αρρυθμίες.

Πως διαγιγνώσκεται η Διαφραγματοκηλη ;

Υπάρχουν πολλοί τρόποι προσέγγισης στη διάγνωση της διαφραγματοκηλης
1) Με μια απλή ακτινογραφία ύστερα από κατάποση βαρίου (σκεύασμα που περιέχει ιώδιο ορατό στις ακτινογραφίες) ,εξέταση χρήσιμη στην διερεύνηση και μελέτη.
2) Μια ενδοσκοπικη μελέτη (γαστροσκοπηση) χρήσιμη στη διερεύνηση οισοφάγου και στομάχου .
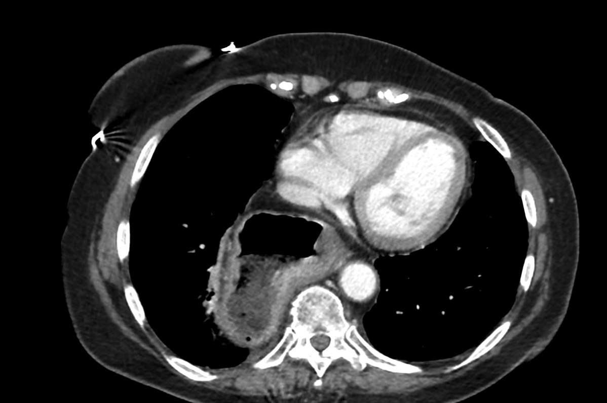
3) Αξονική τομογραφία ύστερα από κατάποση γαστρορραφινης,εξεταση που μας επιτρέπει να διαγιγνώσκουμε τον τύπο της διαφραγματοκηλης

Ποια είναι η θεραπεία της διαφραγματοκηλης

Η ενδεδειγμένη θεραπεια είναι η Χειρουργική ,ωστόσο αυτή δεν είναι απαραίτητα συστηματική ιδιαίτερα για τις ολισθαινουσες διαφραγματοκηλες.Η διαχείρηση της γαστροοισοφαγικής παλινδρόμησης είναι απαραίτητη και είναι γενικά επαρκής για τον ασθενή.Συνταγογραφουνται φάρμακα αναστολείς της αντλίας πρωτονιων για την μείωση της παλινδρόμησης οξέος.Εαν η ολισθαινουσα διαφραγματοκηλη είναι μικρότερη των 5 εκατοστών και δεν προκαλεί επιπλοκές η επέμβαση δεν ενδείκνυται .
Εάν η διαφραγματοκηλη είναι μεγάλη και τα συμπτώματα επιμένουν τότε υπάρχει απόλυτος ένδειξη για χειρουργική επέμβαση.Οσον αφορά τις παραοισοφαγικες διαφραγματοκηλες η χειρουργική θεραπεία είναι απαραίτητη .
Κατα την διάρκεια της επέμβασης πρώτη μέριμνα είναι η επαναφορά του στομάχου στην θέση του ,η συγκλεισις των σκελών του διαφράγματος ,και η κατασκευή μιας αντιπαλινδρομικης βαλβίδας.Η χειρουργική επέμβαση είναι μια αποτελεσματική θεραπεία με εκτιμώμενο ποσοστό επιτυχίας 90%,με πλήρη εξαφάνιση των συμπτωμάτων .

Εικονες απο αξονικη τομογραφια και ενδοσκοπηση

gerd.mp4

Γαστροοισοφαγικη Παλινδρομηση

Ενδειξεις

Πασχει σχεδον το 20% των ανθρωπων ιδιως μετα την ηλικια των 40.
Τα συμτωματα ειναι πολλα και μερικες φορες ατυπα.
η χρονιοτητα αυτων μπορει να οδηγησει σε προκαρκινικες καταστασεις.
Ειναι θεμα Γαστρεντερολογου η Χειρουργου και εαν ναι ποτε αναλαμβανει ο χειρουργος;


Κλινικές εκδηλώσεις ΓΟΠΝ

Οπισθοστερνικος καύσος, αναγωγές, δυσφαγία, αιμορραγία ανώτερου πεπτικού.

Έξωοισοφαγικές εκδηλώσεις
Λαρυγγίτιδα, άσθμα, βήχας, Χρόνιο ο βράχος φωνής, θωρακικός πόνος μη καρδιακής αιτιολογίας, σύνδρομο άπνοιας, δυσοσμία αναπνοής, απώλεια αδαμαντίνης ουσίας οδόντων.

Ταξινόμηση της οισοφαγίτιδας κατά LA

Λύσεις της συνέχειας του βλεννογόνου μικρότερης των 5 mm σε μήκος βαθμός Α , μεγαλύτερης των 5 mm σε μήκος βαθμός Β, λύσεις του βλεννογόνου και των πτυχών σε ποσοστό μικρότερο του 75 % της περιφέρειας του οισοφάγου βαθμός C, διάβρωσεις που εκτείνονται μεγαλύτερα του 75% της περιφέρειας του οισοφάγου βαθμός D.
Η συχνότητα των συμπτωμάτων σχετίζεται με τον χρόνο παραμονής του οισοφαγικού PH< 4

αιτιοπαθογενεια

◦ παροδικές χαλάσεις του κατώτερου οισοφαγικου σφιγκτήρα
◦ υποτονικός ΚΟΣ
◦ διαφραγματοκηλη
◦ αποτυχία οισοφαγικου περισταλτισμου
◦ καθυστερημένη γαστρική κένωση

ευρήματα μη διαβρωτικές και διαβρωτικης οισοφαγιτιδας

◦ χρόνιος βήχας 11,5% - 14,5%
◦ άσθμα 4,3% - 5,2%
◦ θωρακικός πόνος 13,5%-15,4%
◦ παθήσεις λάρυγγα 9,5%-11,2%


Παράγοντες κινδύνου για οισοφαγίτιδα

◦ συμπτώματα μεγαλύτερα του ενός έτους
◦ διαφραγματοκήλη
◦ κυρίως άντρες
◦ ηλικία μεγαλύτερη των 60
◦ κατανάλωση αλκοόλ
◦ BMI αυξημένο

Το φάσμα της ΓΟΠΝ

Καύσος , μη διαβρωτική οισοφαγίτιδα, διαβρωτική οισοφαγίτιδα, οισοφάγος Barrett, αδενοκαρκίνωμα του οισοφάγου.

Οισοφάγος Barrett

Αντικατάσταση τμήματος πλακώδους επιθηλίου από κυλινδρικό (εντερική μεταπλασία) Ο κίνδυνος για καρκίνο του οισοφάγου είναι αυξημένος κατα 40 φορές .

Φάσμα οισοφάγου Barrett
Χαμηλόβαθμη δυσπλασία-υψηλόβαθμη δυσπλάσια-αδενοκαρκίνωμα οισοφάγου

Εμπειρικη θεραπεία

Για τέσσερις εβδομάδες αναστολεις της αντλίας πρωτονίων PPIs, επουλωνουν την οισοφαγιτιδα κατα 85%.
Μακροχρόνια θεραπεία με λιγότερη δόση καθημερινά η κατ'επικληση. Σε μη ανταπόκριση των φαρμάκων χρειάζεται ειδικός έλεγχος .Επισης τα συμπτώματα δεν σχετίζονται με την οισοφαγικη βλάβη .

Χειρουργική θεραπεία

Ενδείξεις

Κλνικη ανταπόκριση στα PPIs,αλλα δυσανεξία η απροθυμία στη συνεχή χρήση.
Αποτυχία ελέγχου κυρίως των αναγωγών (volume regurgitation)
Υποτροπιαζουσες πεπτικές στενώσεις σε νέα άτομα πνευμονικές επιπλοκές από εισροφηση.
Όταν υπάρχει διαφραγματοκηλη.



Νοσηλεια

Ο ασθενής δεν είναι παθητικός αποδέκτης ιατρικών αποφάσεων αλλά ενημερωμένος εταίρος στη θεραπευτική διαδικασία.
Κάθε παροχή φροντίδας έχει και τον οφειλόμενο σεβασμό στην ανθρώπινη αξιοπρέπεια .Ο ασθενής έχει το αναφαίρετο δικαίωμα να συγκατατεθεί η να αρνηθεί σε κάθε διαγνωστική η θεραπευτική πράξη.
Το νοσηλευτικό προσωπικό είναι 4ετους πανεπιστημιακής φοιτήσεως ,πεπειραμένο να προσφέρει οιαδηποτε νοσηλευτική φροντίδα.